小児矯正
なぜ歯並びが悪くなるのか
歯並びや噛み合わせが悪くなる原因としては、先天的(生まれつき)要因と後天的(生活習慣などによる)要因の二つに分けることができます。
先天的な要因
- 遺伝顎の大きさや歯の大きさ・本数などが遺伝し、歯が並ぶスペースが不足することで歯並びが悪くなります。また、両親のどちらかに歯並びの問題があると、子どにも悪い歯並びが遺伝する傾向があります。
- 先天的な異常例えば、生まれつき永久歯の数が足りない(先天欠如)や、多い(過剰歯)など、生まれながらの要因も考えられます。
後天的な要因
- 指しゃぶりや舌の癖(舌突出癖)長期間の指しゃぶりや、舌で前歯を押す癖があると、前歯が前に出たり、すき間ができたりすることがあります。
- 口呼吸鼻ではなく口で呼吸することで、舌の位置が下がり、歯並びに悪影響を与えます。
- 頬杖・寝方の癖顎に力が加わる体勢を続けると、骨の成長に偏りが出て歯並びが乱れます。
- 虫歯や早期の乳歯喪失乳歯が早く抜けると、そのスペースに他の歯が移動してしまい、永久歯が正しい位置に生えにくくなることがあります。
- 不適切な食生活(やわらかいものばかり)柔らかいものばかり食べるなど、不適切な食生活を続けると、顎の成長が不十分になり、歯が並ぶスペースが足りなくなることがあります。
- 外傷(ケガ)顎や歯に強い衝撃を受けることで、歯並びや噛み合わせがずれることがあります。
まとめ
歯並びや噛み合わせが悪くなる原因は、遺伝的なものと生活習慣の両方が関係しています。特に成長期の生活習慣は大きな影響を与えるため、早めの対策や定期的な歯科検診が大切です。
必要であれば、小学校に入学したくらいで小児矯正治療なども検討するとよいでしょう。
小児矯正治療がおすすめな方
- 歯並びや顎の成長に問題がある
子どもや思春期の若者歯並びの不正咬合や顎の骨格的な問題がある場合、小児矯正治療が有効です。治療を早めることで、成長期に問題を修正し、将来的な矯正治療の負担を軽減することができます。
- 噛み合わせや咬合に関する
問題がある子どもや思春期の若者上下の歯の噛み合わせが不適切な場合や、咬合が正しくない場合、小児矯正治療が適しています。適切な咬合を実現することで、食事や発音などの口腔機能が改善されます。
- 顎の発育に問題がある子どもや
思春期の若者上顎や下顎の成長が適切でない場合、顎の骨格的な問題を修正するために小児矯正治療が必要です。
小児矯正治療を始める
適切な時期について
小児矯正治療を始める適切な時期は、一般的には乳歯から永久歯に生え変わる時期の6歳から9歳くらいの間です。この時期には歯や顎の成長が活発であり、治療効果がより良く得られる可能性が高くなります。ただし、個々の症例や状況によって異なるため、歯科医との相談が重要です。
早期の治療が必要な場合は、歯科医が適切な治療計画を立て、治療を開始します。
うえむら歯科クリニックでは矯正相談、検査は無料です。
小児矯正における
1期治療と2期治療とは
小児矯正治療には、一般的に1期治療と2期治療の2つの段階があります。
1期治療(初期矯正)
1期治療は、通常、乳歯から永久歯に生え変わる時期の6歳から9歳の間に行われる治療です。
1期治療の主な目的は、歯並びや顎の成長に関する初期の問題を修正し、将来的な2期治療の必要性を軽減することです。
1期治療では、主に歯並びの調整や上下顎の幅経をある基準まで拡大させます。
一般的には、取り外し式の床拡大装置が使用されます。
2期治療(成長期矯正)
2期治療は、通常、永久歯が生え揃う中学校入学頃に行われる治療です。
2期治療の主な目的は、歯並びや顎の成長に関するより複雑な問題を修正し、理想的な咬合と顔のバランスを実現することです。
2期治療では、ブラケットやワイヤーを用いて細かく歯を移動させます。
これらの2つの治療段階は、子どもの歯や顎の成長段階に応じて異なる治療計画が立てられます。一般的には、1期治療でまずは上下の顎の幅径を拡大させ、2期治療でより複雑な問題を解決することで、効果的な治療結果を得ることができます。
拡大床による
小児矯正治療について
拡大床矯正(Rapid Maxillary Expansion、RME)は、上顎骨(口蓋骨)を広げるための小児矯正治療法の一つです。主な目的は、上顎の幅を広げ、歯列の不正咬合や呼吸障害を改善することです。
メカニズム
RME治療では、特殊な装置を使用して上顎の骨を広げます。この装置は、上顎の両側にある歯に取り付けられ、ねじを回すことで上顎の幅を徐々に拡大していきます。この過程で、上顎の中隔(鼻と口腔を仕切る部分)や歯槽骨が広がり、上顎骨の幅が拡大します。
適応年齢
RME治療の適応年齢は、通常、乳歯から永久歯に生え変わる時期である6歳から9歳くらいの間です。この時期に上顎の成長が終了していないため、上顎骨を広げることが比較的容易です。治療の適切な時期は歯科医が判断し、必要に応じて治療計画を立てます。
治療期間
RME治療の期間は個々の症例によって異なりますが、通常は6〜8ヶ月です。装置を毎日少しずつねじることで上顎骨が拡大され、治療が進行します。その後、骨が十分に広がった後も、安定するまでの期間があります。
治療終了後は、通常はリテーナーなどの装置を使用して結果を維持します。RME治療は、歯列の不正咬合や呼吸障害、口蓋裂などの症例に有効であり、適切な時期に行うことで効果的な治療結果を得ることができます。
しかし、個々の症例によっては適用できない場合や、追加の治療が必要な場合もありますので、歯科医との相談が重要です。
矯正治療でお悩み解決!
- 口元を気にせず、大きな口で思いっきり笑える!
- 虫歯や歯周病になりにくく、健康な歯を保つことができる
- きれいな発音!英語もきれいに話せ、社会人としても活躍できる
- 全身の健康やバランスがよくなり、肩こり・頭痛が起こらない
- 顎関節が安定し、奥歯でグッと踏ん張ることができパワーアップ!
- おじいちゃん・おばあちゃんになっても、ご飯が美味しくもりもり食べられます
小児矯正治療の流れ
-
初診・カウンセリング(問診)お子様の健康状態や歯の症状、生活習慣(食事・歯みがき・指しゃぶりなど)について丁寧に聞き取りを行います。その際、お子様や保護者様が不安な気持ちにならないよう、特に初診時には慎重に配慮しつつ、診察に慣れてもらえるよう心がけています。
-
お口の中の診察(視診・触診)乳歯と永久歯の混合状況を含む歯の本数や並び方、虫歯・歯肉炎・歯垢・歯石の有無、さらに歯並びやかみ合わせに異常がないかどうかを総合的に確認します。
-
必要に応じた検査治療に必要と判断した場合は、見えにくい虫歯や永久歯の位置の確認のためのレントゲン撮影や成長の記録や矯正の判断材料に使用するための口腔内写真を撮影致します。
上下の歯型も取り、顎の大きさも測定します。
精密な検査は無料です。
-
治療または予防処置検査の結果、虫歯が見つかった場合、なるべく痛みの少ない虫歯治療や神経を守る処置を行います。この神経を守る処置は乳歯でも必要な場合があります。
虫歯がない場合や予防目的でのご来院の際は、虫歯予防のためのフッ素塗布やシーラント、ご家庭でしていただくための歯磨き指導や甘いものの適切な取り方等、食生活のアドバイスをします。
歯並びも大事ですが、それ以上に虫歯にならない環境作りが大切です。
うえむら歯科は
お子様に配慮した治療をしています
Tell-Show-Do法
Tell-Show-Do法とは、教育やトレーニングの現場で広く用いられる指導法の一つで、特にスキルや手順の習得を目的とする実践的な学習に効果的です。このメソッドを使い、お子様に治療器具を見せて慣れていただけるようにします。
短時間で終える・無理に治療しない
お子様が歯医者嫌いにならないよう短時間の治療、無理に治療は致しません。
楽しい雰囲気作り
また来たいと思っていただけるよう、キッズスペースや治療を頑張ったお子様へのご褒美がございます。
まとめ
小児歯科では「虫歯の治療」だけでなく、「予防」「成長の見守り」「歯並びの管理」まで、長期的な視点で子どものお口の健康をサポートします。特に、定期的な受診と家庭でのケアが予防のカギになります。
小児矯正歯科の症例
CASE.1 3歳から反対咬合
正面観
BEFORE
正面観
AFTER
| 主訴 | 赤ちゃんの頃から咬み合わせが逆 |
|---|---|
| 治療期間 | 3年 |
| 治療費 | 55,000円(税込) |
| 治療内容 | ムーシールドを着用 |
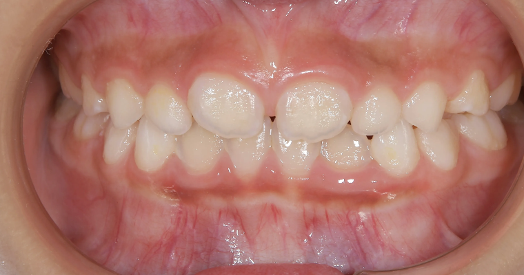
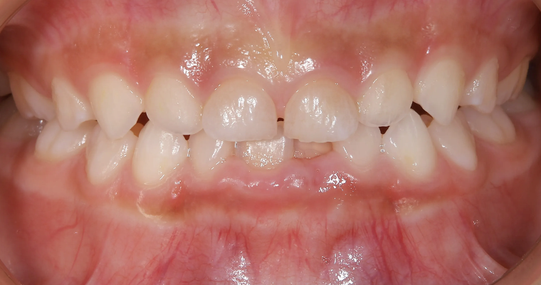
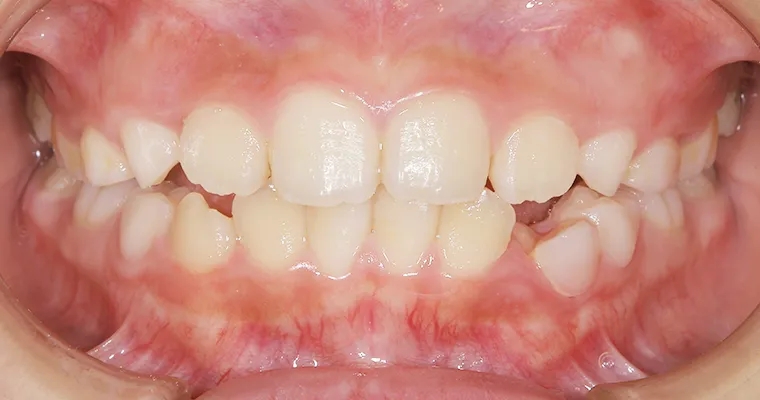
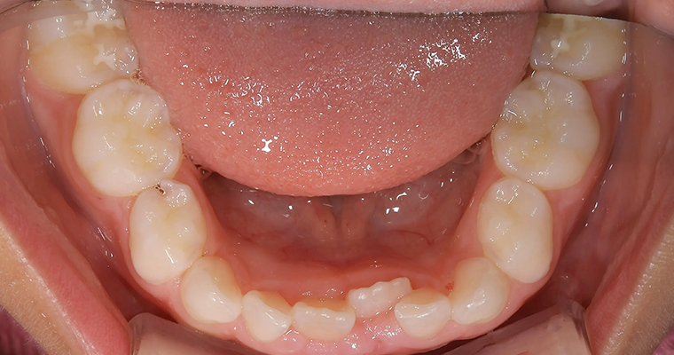
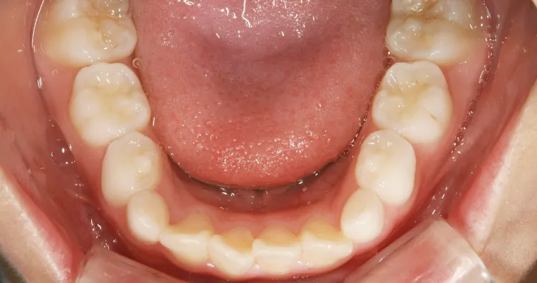
CASE.2 下顎の歯がねじれている
正面観
BEFORE
正面観
AFTER
下顎咬合面観
BEFORE
下顎咬合面観
AFTER
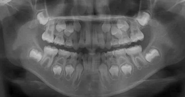
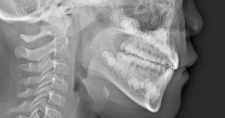
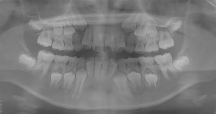
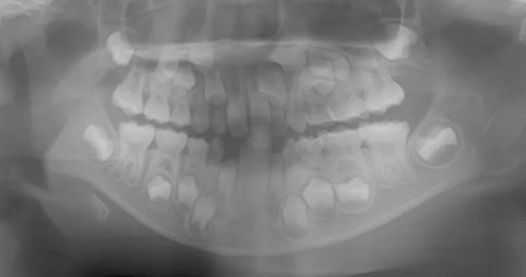
治療前 パノラマレントゲン
治療前 セファロレントゲン
使用矯正装置 上
使用矯正装置 下
上顎牽引装置
| 主訴 | 幼少期から反対咬合 |
|---|---|
| 治療期間 | 10ヶ月 |
| 治療費 | 440,000円(税込) ※調整、器具、治療後にお渡しするEFLine(矯正後の後戻りを防ぐ器具)も全て込みでの金額となっております。 |
| 治療内容 | 6歳で上下拡大 上顎牽引装置 EF Lineで筋機能療法 |
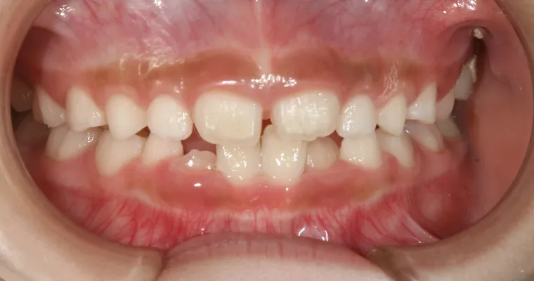
CASE.3 歯並びが悪い
正面観
BEFORE
正面観
AFTER
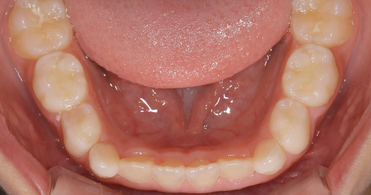
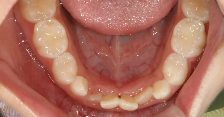
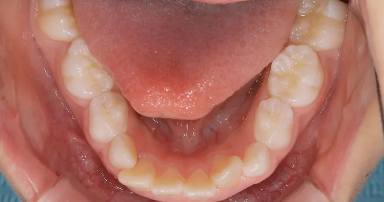
下顎咬合面観
BEFORE
下顎咬合面観
AFTER
治療前 パノラマレントゲン
治療前 セファロレントゲン
使用矯正装置 上
使用矯正装置 下
| 主訴 | 歯並びが悪い 乳歯と永久歯が重なっている 歯がまっすぐはえてこない |
|---|---|
| 治療期間 | 6-7ヶ月 |
| 治療費 | 440,000円(税込) ※調整、器具、治療後にお渡しするEFLine(矯正後の後戻りを防ぐ器具)も全て込みでの金額となっております。 |
| 治療内容 | 拡大床矯正 EF Lineで筋機能療法 |
CASE.4 歯並びが悪い
上顎咬合面観
BEFORE
上顎咬合面観
AFTER
下顎咬合面観
BEFORE
下顎咬合面観
AFTER
治療前 パノラマレントゲン
治療前 セファロレントゲン
使用矯正装置 上
使用矯正装置 下
| 主訴 | 歯並びが悪い 乳歯と永久歯が重なっている 歯がまっすぐはえてこない |
|---|---|
| 治療期間 | 6-7ヶ月 |
| 治療費 | 440,000円(税込) ※調整、器具、治療後にお渡しするEFLine(矯正後の後戻りを防ぐ器具)も全て込みでの金額となっております。 |
| 治療内容 | 拡大床矯正 EF Lineで筋機能療法 |
CASE.5 歯並びが悪い
正面観
BEFORE
正面観
AFTER
下顎咬合面観
BEFORE
下顎咬合面観
AFTER
治療前 パノラマレントゲン
治療前 セファロレントゲン
使用矯正装置 上
使用矯正装置 下
| 主訴 | 歯並びが悪い 乳歯と永久歯が重なっている 歯がまっすぐはえてこない |
|---|---|
| 治療期間 | 6-7ヶ月 |
| 治療費 | 440,000円(税込) ※調整、器具、治療後にお渡しするEFLine(矯正後の後戻りを防ぐ器具)も全て込みでの金額となっております。 |
| 治療内容 | 拡大床矯正 EF Lineで筋機能療法 |
EFLineとは?
固定装置で本格矯正治療をする前に、歯並びやかみ合わせに関係する悪習癖を取り除き、正しい顎の発育、顔面筋の成長を促し、歯並びやかみ合わせのための環境を改善させることを目的として使用します。(予防が目的)
正しい呼吸や嚥下を覚えることで正しい成長をしてその結果として歯並びも正しい方向に誘導されます。
この記事の執筆者
院長
15年以上の経験を活かし、子どもからご年配の方まで、虫歯予防に重点を置いた診療を行っています。毎日の歯磨きに加え、歯科医院での定期的なクリーニングを受けることで、歯を丈夫で健康な状態に保つことができます。
河内長野で歯医者をお探しの方は、ぜひ〈うえむら歯科クリニック〉にご相談ください。
経歴
- 大阪歯科大学卒業
- うえむら歯科クリニック開業
- PECペリオコース受講
- 大阪SJCDレギュラーコース受講
- ノーベルバイオケアインプラントコース受講
- ペリオドンタルマイクロサージェリーコース
受講 - マイクロエンドコース受講
- スプラインインプラントコース受講
所属学会
- 日本顎咬合学会咬み合わせ認定医
- 日本臨床歯周病学会会員
- 日本歯科審美学会会員
- 大阪SJCD会員
- SADA理事